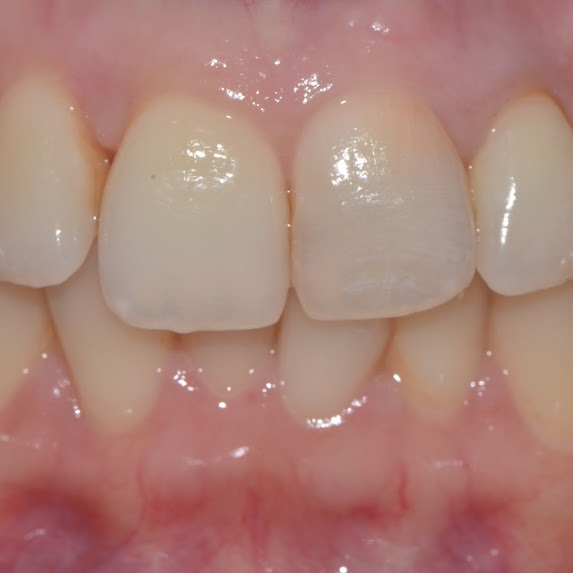
Post blanchiment interne

12 Oct

Le blanchiment interne est une méthode de blanchiment dentaire qui permet d'éclaircir une dent grisâtre suite à une dévitalisation pour se rapprocher de la teinte originelle sans avoir recours aux facettes ou aux couronnes.

Le résultat dépend de chaque patient, de la dyschromie à traiter, de l’ancienneté de la coloration et de la couleur initiale de la dent.

Les résultats de cet éclaircissement sont généralement très satisfaisants et s’observent immédiatement après la première séance.

Il est à rappeler que pour la préservation du résultat obtenu, des séances de rappel peuvent être réalisées, si le praticien en voit la nécessité.

Pour toute information complémentaire, n’hésitez pas à nous contacter sur le 0522 295282.

Share: